Smile Gallery
Crown Dentistry of the Palm Beaches
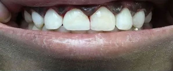
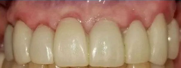
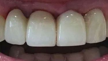
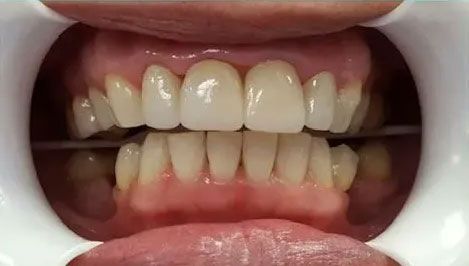
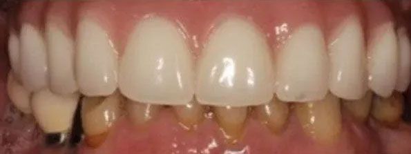
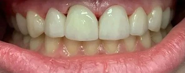
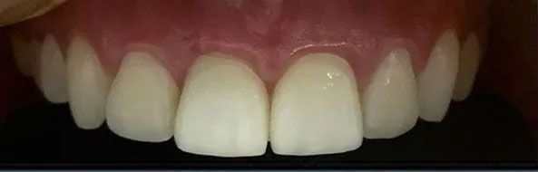
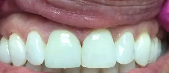
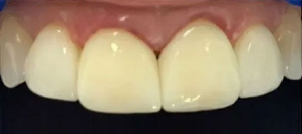
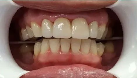
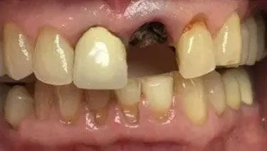
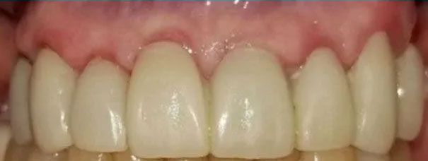
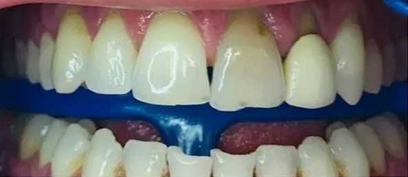
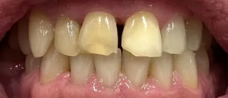
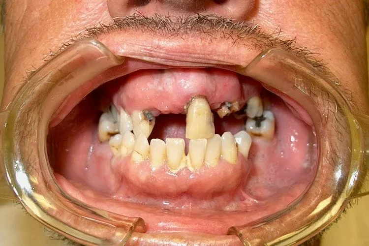
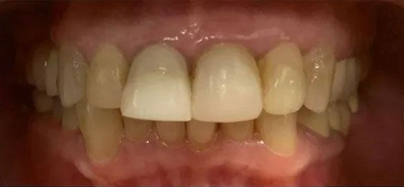
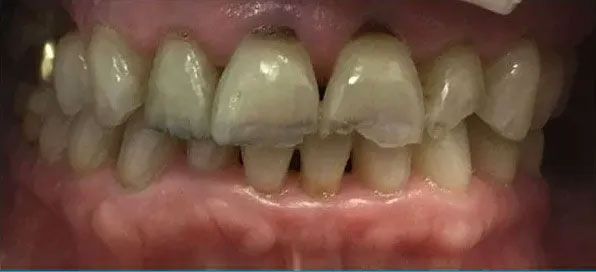
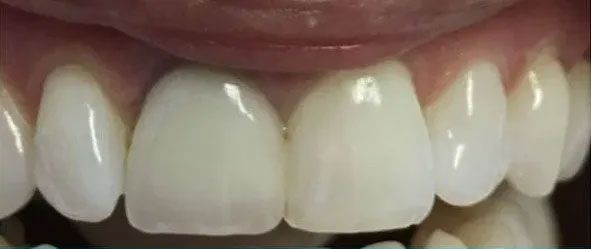
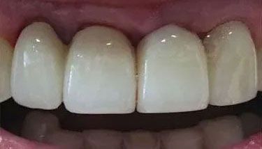
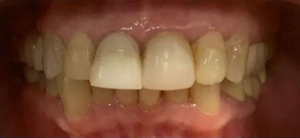
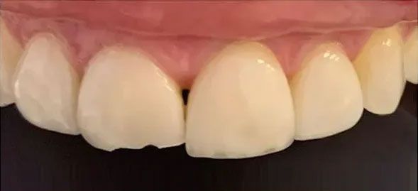
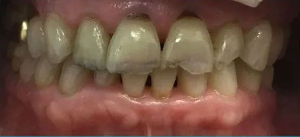
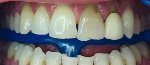
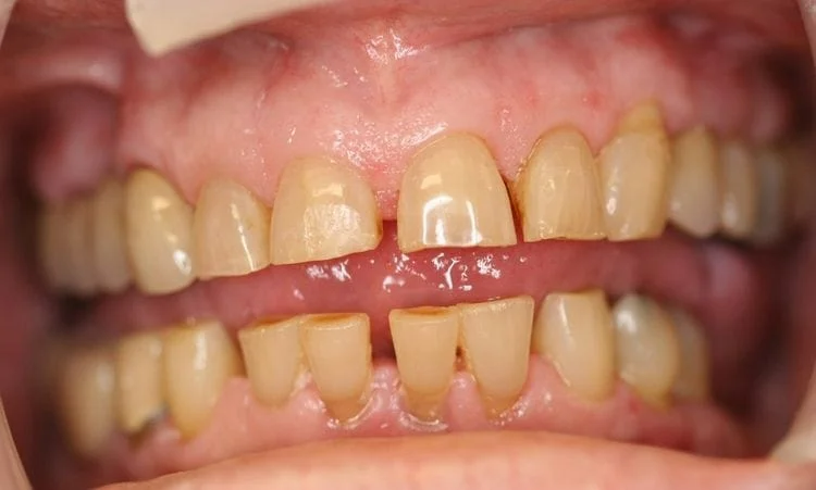
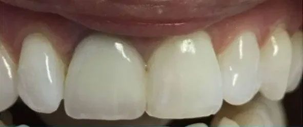
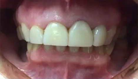
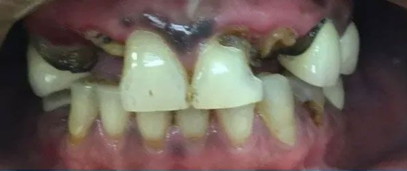
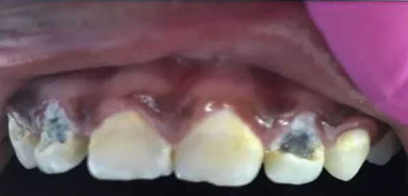
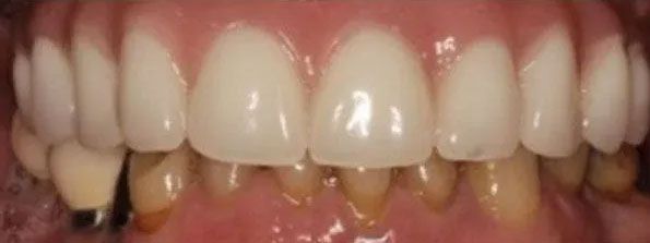
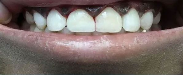
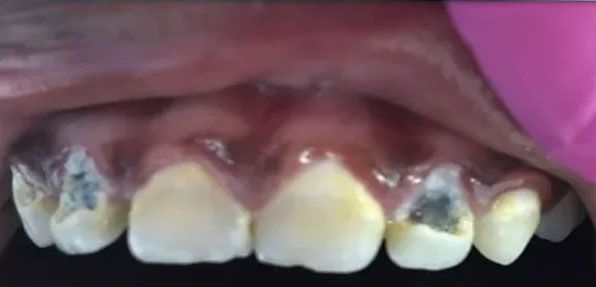
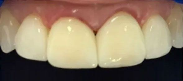
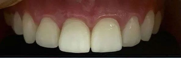
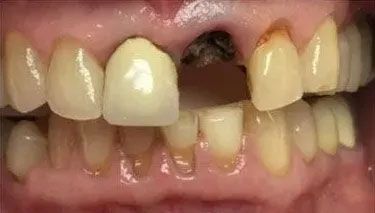
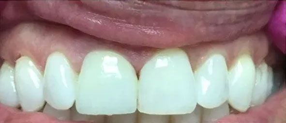
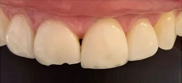
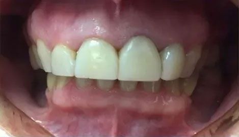
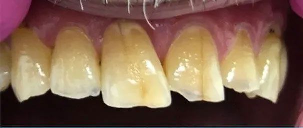
Explore Our Stunning Before and After Dental Transformations
Discover the remarkable transformations at Crown Dentistry of the Palm Beaches through our Smile Gallery. Every image displayed is a true testament to the skill and care provided by Dr. Thomas Saitta and his dedicated team.
These are not models or stock photos; they are actual patients who have experienced the expert dental work we perform at our clinic. Witness firsthand the exceptional results achieved by our team. Feel inspired to begin your journey towards a perfect smile? Call Crown Dentistry of the Palm Beaches for a free initial consultation.
 
 
 
 
 
 
 
 
 
 
 
 
 
 
 
 
 
 
 
 
 
 
 
 

Share On: